乳牙列地包天主要是牙性地包天和功能性地包天比較常見,對于牙性地包天采用在上頜,佩戴活動矯治器,將反頜上前牙矯正到正常,來解決反頜,而對于功能性乳牙反頜,通常通過破除不良習慣來進行矯正;

替牙列乳牙反頜,經常原因是由于牙性的,或者適合骨骼性因素而造成的,對于牙性地包天,也是通過上頜活動矯治器進行矯治,對于骨骼性地包天,由于頜骨處于生長發育過程當中,通常采用前牽引等裝置,調整骨骼關系來解決地包天;
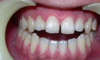
恒牙列由于頜骨和牙齒發育基本已經結束,對于前牙的地包天,經常采用綜合性正畸手段,來解決地包天。地包天的矯正方法有種,包括手段和美。如果是青少年,趁著年較小,可以用牙套正畸來進行矯正。指導意見地包天的矯正方法有很多種,包括正畸手段和美容冠。如果是青少年,趁著年紀比較小,可以用牙套正畸來進行矯正。
矯正牙齒一般來說是不會引起松動,正常來說牙齒在矯治過程中通過對牙齒施加輕微的矯治力量,使牙齒周圍的骨細胞不斷吸收和產生新的骨細胞,以此來實現牙齒的緩慢移動。在牙齒移動過程中會表現為輕微的松動。
兒童牙齒矯正的最佳年齡有分為幾個階段,適合不同牙齒畸形的情況的兒童。首先是在在乳牙期3到5歲,其次是替牙期6到12歲。具體還是要來南京牙博士口腔醫院的醫生咨詢檢查才知道的。










